[행복한 동행, 반려동물과 함께하시개] 반려동물 과일씨 잘못 삼키면 장폐색 위험
장폐색으로 소중한 생명 잃을수도
![]() 과일씨를 먹고 장폐색 증상이 온 고양이 키키의 복부 엑스레이 사진. <이영아씨 제공> |
올해 두 살 된 반려묘 키키와 함께 살고 있는 이영아씨 가족은 지난 봄 아찔한 경험을 했다.
집안 어딘가에 떨어져 있던 과일씨를 삼킨 키키가 장폐색 증상으로 응급수술을 받은 것이다. 무사히 수술을 받은 키키는 2~3개월 회복기를 거쳐 예전의 건강한 모습으로 돌아왔지만 가족들은 다시는 겪고 싶지 않은 경험이었다며 놀란 가슴을 쓸어내렸다.
반려동물에게서 나타나는 장폐색은 잘못 삼킨 이물질로 인해 몸속 장기 중 소장이 막혀 음식물이나 소화액, 가스 등이 통과하지 못하는 질환을 말한다. 장이 막히면서 음식 소화를 못하기 때문에 배가 볼록하게 부풀고 심한 복통이 오기도 한다. 심할 경우 장폐색이 진행되면서 장이 괴사하고 천공이 생기면서 위험한 상황에 이르기도 한다.
키키의 경우 가족 누군가가 먹다가 떨어뜨린 감 씨가 원인이었다. 평소 식탐이 많은 아이인데도 좋아하는 간식을 거부하고 구토 증상을 보여 가까운 동물병원을 찾았다. 췌장염이 의심된다며 약 처방을 받아왔지만 그마저도 거부해 다음날 재방문했다.
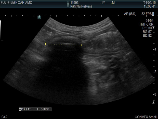
엑스레이와 초음파 촬영 결과가 전날과 크게 차이가 나자 수의사는 장폐색이 왔음을 직감하고 응급수술이 가능한 동물병원으로 급하게 전원시켜 수술을 받을 수 있도록 했다.
반려동물은 수술이나 입원을 할 경우 비용 부담이 크기 때문에 보호자들이 쉽게 결정하지 못하는 경우도 많지만 키키의 상황이 워낙 긴급했기 때문에 바로 수술을 결정할 수 밖에 없었다.
이씨는 “수술을 하지 않으면 키키가 죽을 수도 있는 응급이어서 병원비 등을 고민할 상황이 아니었다”며 “수술 후 장 속에서 1.2~1.5㎝의 동그란 이물질이 나왔는데 알고 보니 감 씨였다”고 전했다.
키키처럼 과일 씨를 잘못 삼켜 병원을 찾는 반려동물은 드물지 않게 만날 수 있다. 특히 과일이 많이 나는 여름철은 더욱 조심해야 하는 시기이기도 하다.
비타동물의료센터 박순식 수의사는 “과일씨를 포함한 이물질을 잘못 먹고 찾아오는 강아지나 고양이들을 심심찮게 만날 수 있으며 그 중에는 장폐색으로 진행되는 위험한 상황의 아이들도 있다”며 “구토하거나 출혈이 보일 경우 바로 동물병원을 데려가도록 하고 가정에서도 항상 조심하고 주의를 기울여야 한다”고 조언했다.
/이보람 기자 boram@kwangju.co.kr
집안 어딘가에 떨어져 있던 과일씨를 삼킨 키키가 장폐색 증상으로 응급수술을 받은 것이다. 무사히 수술을 받은 키키는 2~3개월 회복기를 거쳐 예전의 건강한 모습으로 돌아왔지만 가족들은 다시는 겪고 싶지 않은 경험이었다며 놀란 가슴을 쓸어내렸다.
![]() 장폐색 수술 후 수액을 맞고 있는 고양이 키키. <이영아씨 제공> |
키키의 경우 가족 누군가가 먹다가 떨어뜨린 감 씨가 원인이었다. 평소 식탐이 많은 아이인데도 좋아하는 간식을 거부하고 구토 증상을 보여 가까운 동물병원을 찾았다. 췌장염이 의심된다며 약 처방을 받아왔지만 그마저도 거부해 다음날 재방문했다.
![]() 과일씨를 먹고 장폐색 증상이 온 고양이 키키의 복부 초음파 사진. <이영아씨 제공> |
반려동물은 수술이나 입원을 할 경우 비용 부담이 크기 때문에 보호자들이 쉽게 결정하지 못하는 경우도 많지만 키키의 상황이 워낙 긴급했기 때문에 바로 수술을 결정할 수 밖에 없었다.
이씨는 “수술을 하지 않으면 키키가 죽을 수도 있는 응급이어서 병원비 등을 고민할 상황이 아니었다”며 “수술 후 장 속에서 1.2~1.5㎝의 동그란 이물질이 나왔는데 알고 보니 감 씨였다”고 전했다.
![]() 장폐색 수술 후 건강을 되찾은 고양이 키키. 수술 부위 보호를 위해 옷을 입혔다. <이영아씨 제공> |
비타동물의료센터 박순식 수의사는 “과일씨를 포함한 이물질을 잘못 먹고 찾아오는 강아지나 고양이들을 심심찮게 만날 수 있으며 그 중에는 장폐색으로 진행되는 위험한 상황의 아이들도 있다”며 “구토하거나 출혈이 보일 경우 바로 동물병원을 데려가도록 하고 가정에서도 항상 조심하고 주의를 기울여야 한다”고 조언했다.
/이보람 기자 boram@kwangju.co.kr































